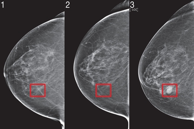
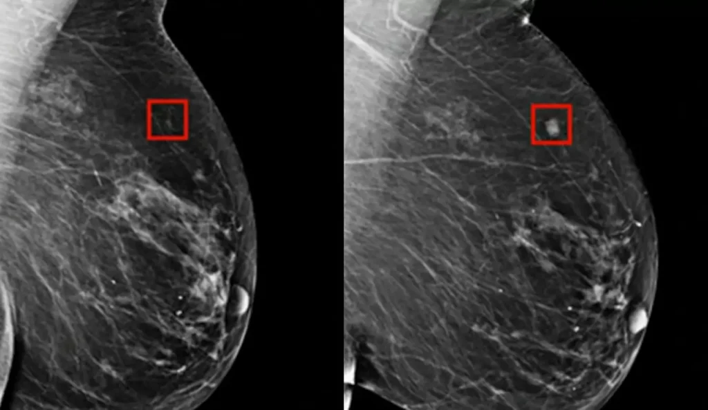
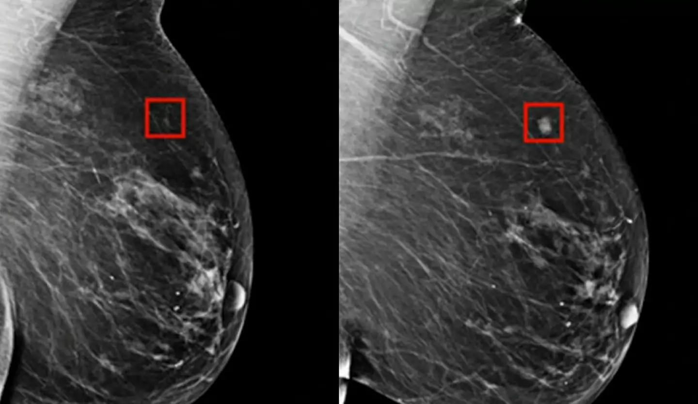
Një program i ‘AI’ zbuloi me sukses kancerin e gjirit tek një grua katër vjet përpara se të zhvillohej. Ndërsa disa përparime të ‘AI’ mund të jenë frikësuese, ato gjithashtu mund të bëjnë një të mirë të konsiderueshme, të tilla si ndihma në diagnostikimin e hershëm të sëmundjeve. ‘AI’ tani po përdoret në shqyrtimin e kancerit për të identifikuar problemet e mundshme shumë kohë përpara se ato të bëhen të dëmshme.
Kjo teknologji ka pasur sukses të madh në Hungari dhe SHBA, Britani e Madhe dhe vende të tjera europiane po mendojnë ta testojnë atë. Megjithëse ka ende sfida, ai mund të jetë një mjet i vlefshëm për radiologët dhe potencialisht një shpëtimtar.

Dr. Larry Norton i Qendrës së Gjirit Lauder shpjegoi për CNN se ‘AI’, e cila ka ekzistuar që nga fundi i viteve 1990, po bëhet më e dobishme në identifikimin e problemeve të mundshme shëndetësore. AI mund të ndihmojë radiologët duke identifikuar zonat në mamografi që kanë nevojë për ekzaminim më të afërt.
Lexo edhe: OpenAI sfidon Google, lançon një mjet kërkimi të AI të quajtur SearchGPT
Sidoqoftë, AI ka për qëllim të ndihmojë, jo të zëvendësojë, profesionistët e mjekësisë njerëzore. Mund të zvogëlojë ngarkesën e punës së radiologëve me 30% dhe të rrisë shkallët e zbulimit të kancerit me 13%, sipas New York Times. AI është përdorur gjithashtu me sukses për të zbuluar kancerin e mushkërive.




